Latest Releases
Find our latest releases below. After searching, you can view the most recent releases by clearing the search.
Browse experts on:

America’s beloved blonde law student takes the stage at Northwestern’s Wirtz Center
January 6, 2020
Northwestern University’s Wirtz Center for the Performing Arts presents “Legally Blonde: The Musical” Feb. 14 to March 1.
Northwestern professors available to speak about killing of Qasem Soleimani
January 6, 2020
Less than 24 hours after President Trump ordered a drone strike in Iraq that killed Qasem Soleimani, one of Iran’s top military leaders, debate rages about what will happen next in U.S.-Iranian relations.
* Media Advisory
* Media Advisory

Wirtz Center’s MFA Lab series features intimate productions of ‘Eurydice,’ ‘Kiss of the Spider Woman’ and ‘The Glass Menagerie’
January 3, 2020
The series includes Sarah Ruhl’s 2003 play “Eurydice,” Jan. 31 to Feb. 2; Manuel Puig’s “Kiss of the Spider Woman,” May 1 to 3; and Tennessee Williams’ “The Glass Menagerie,” May 22 to 24.

Alumnus Greg Berlanti endows professorship at Northwestern School of Communication
January 2, 2020
A new dramatic writing professorship will significantly expand course offerings and teaching opportunities, thanks to a $2 million gift from the Berlanti Family Foundation.

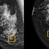
Artificial intelligence improves breast cancer detection on mammograms in early research
January 1, 2020
A new Artificial Intelligence model detects and predicts breast cancer in mammography scans more accurately than radiologists, reducing false positives and false negatives.

MLK Dream Week 2020 programming announced
December 23, 2019
Northwestern University will commemorate the life and legacy of Martin Luther King Jr. with Dream Week 2020, a series of events from Jan. 15 to 28, 2020. Several events are free and open to the public, including the keynote events with ‘me too.’ Movement founder Tarana Burke on Jan. 27.

New Year’s resolutions, backed by Northwestern research
December 23, 2019
Tired of cliché New Year's resolutions? Northwestern University experts share unique resolution ideas based on research published in 2019.
* Media Advisory
* Media Advisory
Professors available to comment on historic impeachment vote, next Democratic debate
December 18, 2019
Northwestern professors available to comment on historic impeachment vote, next Democratic debate
* Media Advisory
* Media Advisory

Using AI to analyze placenta health
December 17, 2019
Artificial intelligence (AI) might one day determine the health of a woman’s placenta after childbirth for a fraction of the cost and time, according to new research from Northwestern University and Penn State.

Fatal school shootings increase antidepressant use among youths, study finds
December 16, 2019
More than 240,000 students have been exposed to school shootings in America since the mass shooting in Columbine in April 1999, according to a new study in part by Northwestern University.